
Die Philosophie der Da Vincis
Ziel und Grundlage der Philosophie von Da Vinci Dental ist es, alle Möglichkeiten und Arbeitstechniken, die die moderne naturorientierte Zahntechnik bietet auszuschöpfen, um so Zahnersatz zu kreieren, der ästhetisch hohen Ansprüchen gerecht wird und funktionell eine maximale Lebenserwartung erreicht. Dies ist nicht durch eine industrieähnliche Massenanfertigung zu erzielen, wo die Arbeit für einen Patienten bis zu fünf verschiedene Abteilungen durchläuft und durch viele Hände geht. Stattdessen erarbeiten wir unsere Produkte in einem kleinen Kreis nach dem besten Qualitätsmaßstab, der uns heute denkbar erscheint. So bleibt der Bezug zur persönlichen Individualität des Patienten erhalten. Dabei finden nur die besten Rohmaterialien Anwendung, die der Dentalmarkt bietet. Und auch die Zahnärzte, die mit uns kooperieren, arbeiten nach besonders hohen Qualitätsstandard. Über ein speziell ausgearbeitetes gnathologisches Okklusalkonzept wird möglichen späteren Kiefergelenkerkrankungen weitgehend vorgebeugt. Unsere Arbeit ist nachhaltig. Denn durch die mikroskopisch genaue Gestaltung der Kronenrandbereiche, unter Berücksichtigung der Weichgewebe, ist die Voraussetzung für eine ungewöhnlich lange Haltbarkeit unserer Produkte gegeben.
DER NATUR DIE KRONE AUFGESETZT

im Grunde genommen beginnt die Geschichte der majesthetischen Arbeitsweise vor etwa 500 Jahren. Das Leben und Wirken Leonardos kann man als die Essenz des majesthetischen Gedankens verstehen und hier bei ihm findet die Wortschöpfung „Majesthetik“ ihren Ursprung im Sinne eines königlich, ästhetisch und ethischen Lebensweges und Handelns.

obwohl vom Alter gekennzeichnet, wahrt das Gesicht ebenmäßige Schönheit. Das Mienenspiel deutet ein überlegenes Bewusstsein von den letzten Wirklichkeiten und menschlichen Eitelkeiten an. Ein Greis jenseits von Raum und Zeit, welcher ein so tiefes Wissen besitzt, dass es nicht mehr mittelbar ist und kein Maß mehr kennt.

mehr als 100.000 Zeichnungen und ca. 6000 Heftseiten umfassend – bildet eine sehr wichtige Quelle unserer Arbeits- und Unternehmensphilosophie, wenn es auch unmöglich ist diesen reichhaltigen Nachlass in vollem Umfang jemals zu erfahren.

z.B. den Schriften zur Malerei unter ständigem eigenen Erforschen der Natur der Zähne hat dazu geführt, dass Majesthetik eine über viele Jahre gewachsene Arbeitsweise darstellt, die die ohnehin schon hohe Handwerkskunst der Zahntechnik verfeinert und weiterentwickelt.

dem Gründungskonzept von Da Vinci Dental aus dem Jahre 1994 entsprechend, erfährt der Patient bzw. Kunde. Bei ihm findet die erwähnte alte Weisheit und kontinuierlich verfeinerte Handwerkskunst ihre einzigartige Anwendung.


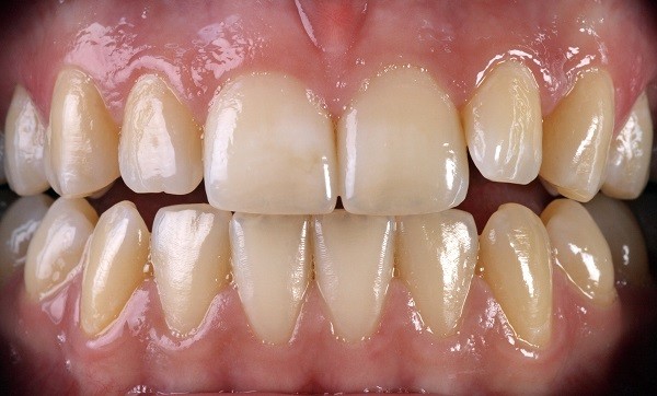
KEIN ZAHN IST WIE DER ANDERE

Ob Jacketkrone, Brücke oder Prothese – von Krankenkassen und Versicherungen finanzierter Zahnersatz soll irgendwie funktionieren und dabei das gesetzlich verordnete Budget nicht sprengen. Dieser stetig wachsende Kostendruck bestimmt auch die Herstellung solchen Zahnersatzes.
DABEI IST JEDER ZAHN EINZIGARTIG. So wie jeder Mensch einzigartig ist. Zähne sind immer Ausdruck und Spiegel unserer Persönlichkeit. In großer Masse gefertigte Zähne können dieser Individualität nicht Rechnung tragen. Die Arbeit für einen Patienten läuft durch verschiedene Abteilungen, durch viele Hände. der Patient bleibt anonym. Der Zahn nominierter Standard. Aber jeder Mensch hat ein Recht darauf die bestmögliche Versorgung erhalten zu können.
DENN ES GEHT AUCH ANDERS: MAJESTHETIK
Der ursprüngliche Gedanke der zur Entwicklung der Da Vinci Majesthetik Krone führte, war der Wunsch nach Zahnersatz der ästhetisch und funktionell von natürlichen Zähnen nicht zu unterscheiden ist. Der rege Austausch mit Kollegen und Zahnärzten aus der ganzen Welt, spornt die Betreiber und Mitarbeiter von Da Vinci Dental immer wieder an, das bereits Erreichte weiter zu verbessern.
SEIT MÄRZ 2002 IST DIE DA VINCI MAJESTHETIK-KRONE EIN EINGETRAGENES MARKENZEICHEN und erfährt innerhalb der dentalen Fachwelt hohe Anerkennung als Definition für die Arbeitsweise, mit der wir zu einem Produkt gelangt sind, welches die denkbar höchsten ästhetischen und funktionalen Ansprüchen erfüllt, somit also vom natürlichen Vorbild nicht zu unterscheiden ist.
MAJESTHETISCHE LEHRE
KÖNIGLICH ÄSTHETISCH ETHISCH
Die majesthetische Lehre hat ihren Ursprung im schriftlichen Nachlass Leonardo Da Vinci’s.
Leonardo fordert ein ständiges Auseinandersetzen mit den Gegebenheiten der Natur.
Bedeutend ist hierbei, dass Zähne nicht nur Werkzeuge sind, sondern kleine Wesen im Spiegel der Persönlichkeit.
Neben unserer produktiven Arbeit studieren wir daher die ästhetischen Wechselwirkungen von Zähnen,
im Rahmen einer ganzheitlichen Betrachtungsweise des Menschen.
Hierzu gehören u.a. mimische Bewegungsstudien der Mund und Lippenpartie…
…und ebenso Porträtstudien zur Berücksichtigung des gesamten Erscheinungsbildes.










