Umfangreiche Beratung in behaglicher Atmosphäre
In einer angenehmen Atmosphäre, nehmen wir uns die Zeit, die Ihrem individuellen Bedarf gerecht wird. Denn massgebend für die Qualität der Zahnbehandlung ist auch der Zahnersatz der von Ihnen mitausgewählt wird. Machen Sie sich ein erstes Bild mit folgenden Videos.

All-In-One
und exklusiv
Bei unserem Patientenservice handelt es sich um ein exklusives Rundumsorglos-Paket, bei dem Sie in Kürze alles erhalten, was heutzutage für einen qualitativ hochwertigen Zahnersatz möglich ist. Durch unseren komfortablen Patientenservice sparen Sie Zeit und werden unmittelbar von einem Expertenteam bestehend aus Zahnarzt und Zahntechnikermeistern vor Ort beraten

Zahnbehandlung
der Extra-Klasse
Denn uns liegt es am Herzen, dass Sie sich wohl fühlen.
In unseren Räumen brauchen Sie nicht im Wartezimmer Platz zu nehmen. Stattdessen erwartet Sie das zahnmedizinisches Expertenteam, das ausschliesslich für Sie da ist. In einem herausragenden Umfeld bieten wir Ihnen eine professionelle Zahnbehandlung der Extra-Klasse.

Kompetenz
im Team
Die Behandlung in unserem Praxisatelier ermöglicht optimale Teamarbeit mit unseren zahnärztlichen Spezialisten.

Inklusive
Anreise
Selbst wenn Sie aus der Ferne anreisen, können Sie sich getrost auf unsere Dienste verlassen. Denn unser Chauffeur holt Sie bereits am Flughafen, Bahnhof oder zu Hause ab.
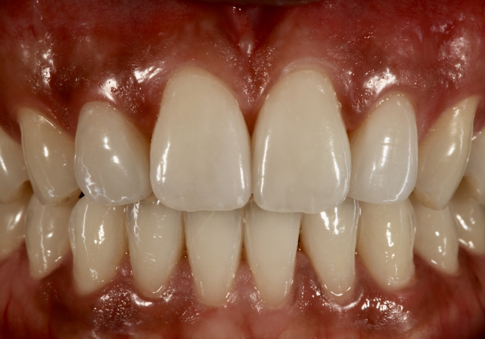
Wiederherstellung
natürlicher Funktion und Ästhetik
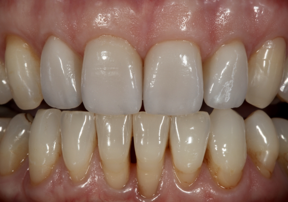
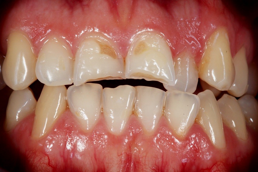
(Für ursprünglichen Zustand, horizontal scrollen > Vorher: zerstörte Ästhetik durch misslungene Kieferorthopädie)
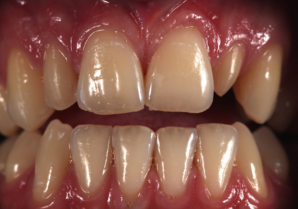
Mit Hilfe von Majesthetik Kronen und Veneers
wiederhergestellte Schönheit
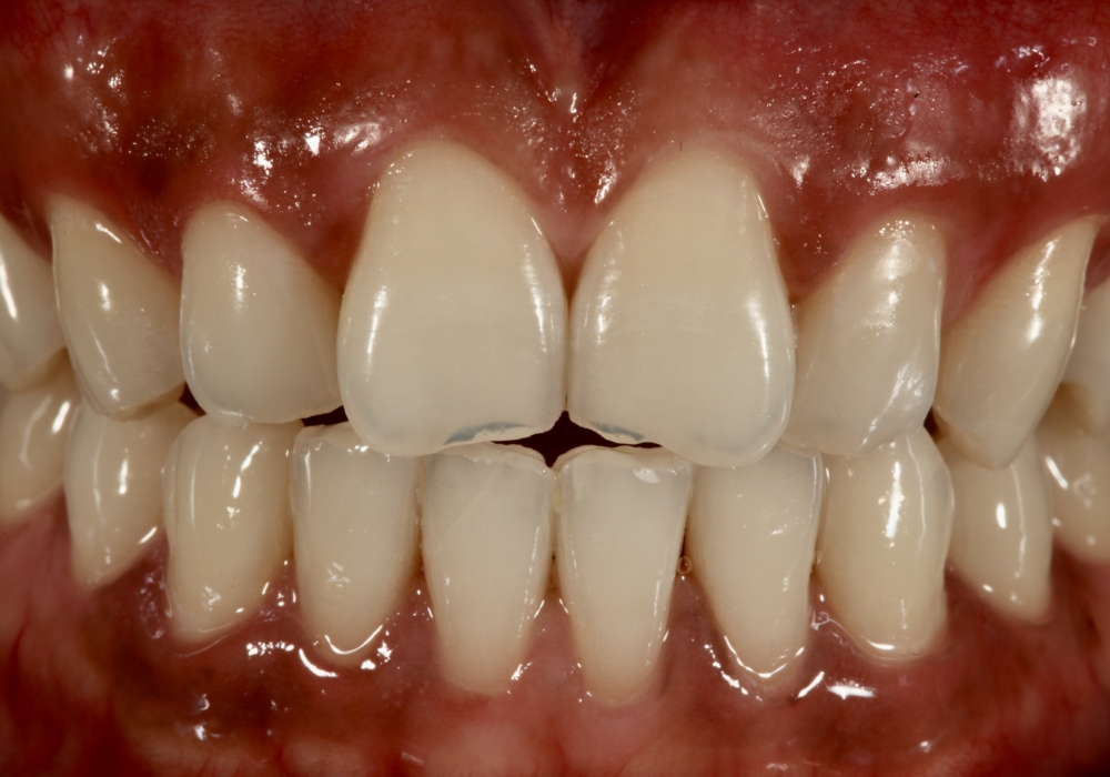
(Für ursprünglichen Zustand, horizontal scrollen > Vorher: Unzureichende Ästhetik durch monolitische Kronen)
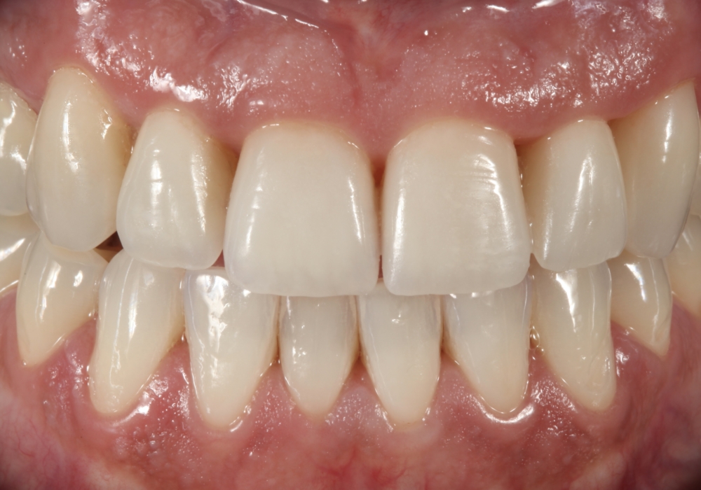
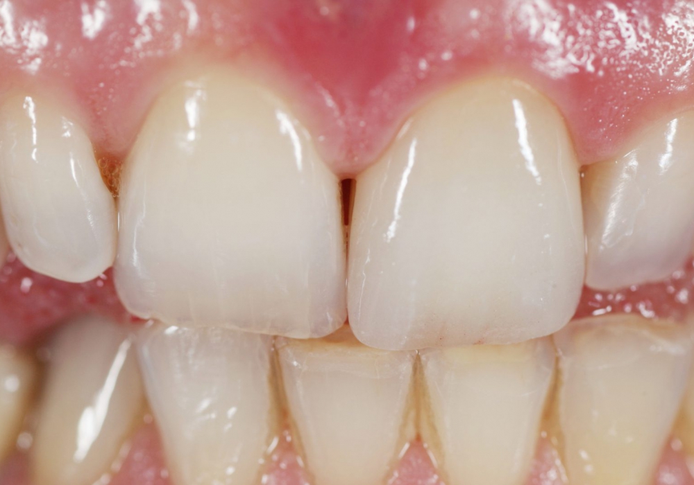
Handgeschichtete Majesthetikkrone
21 fügt sich unsichtbar ein
(Für ursprünglichen Zustand, horizontal scrollen > Vorher: Künstlich wirkende Frontzahnkrone)
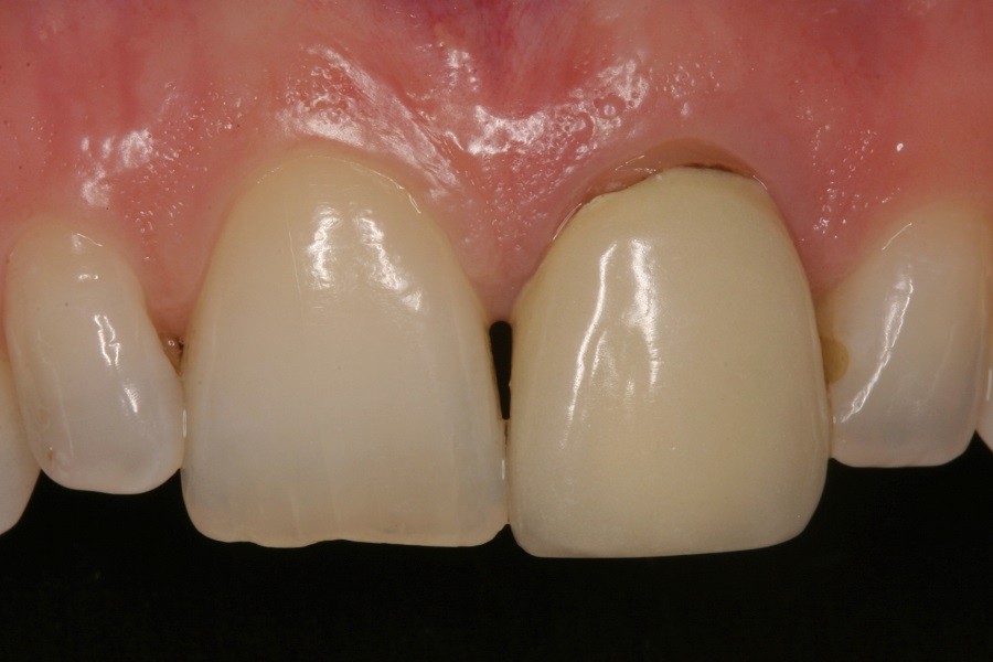
Non invasive Wiederherstellung von Frontzähnen
(Für ursprünglichen Zustand, horizontal scrollen)
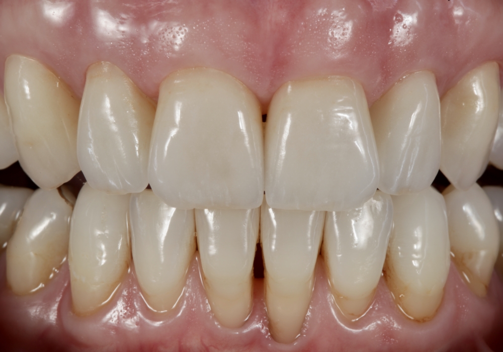
Wiederherstellung der Ästhetik durch Handgeschichtete Majesthetikveneers
(Für ursprünglichen Zustand, horizontal scrollen > Vorher: Deutlich zu kurze Zähne. Neuaufbau durch Additionalveneer – ohne Preparation)
Handgeschichtete Frontzahnveneers
(Für ursprünglichen Zustand, horizontal scrollen)

Qualität und Nachhaltigkeit
Lassen Sie sich von den Vorzügen unseres exklusiven Patientenservices mit garantiert majesthetischem Erfolg begeistern. Unser Expertenteam setzt auf Hochwertigkeit und langjährige Garantie für Ihre Zähne.
Laden Sie hierzu unser Informationsmaterial herunter.
Wenn Sie Fragen haben, scheuen Sie nicht uns zu schreiben oder anzurufen, wir helfen Ihnen gerne weiter.
Wir freuen uns über Ihren Besuch und wünschen Ihnen viel Spass beim Durchstöbern unserer Informationsseiten.




